BLANQUEAMIENTO DENTAL
El blanqueamiento dental es un tratamiento de odontología estética que tiene como objetivo eliminar las manchas dentales y hacer que la dentición adquiera una tonalidad más blanca y brillante.
Existen 2 tipos de blanqueamiento dental:
.-Blanqueamiento Dental realizado en consulta: Para ello en Clinica Dental Centro contamos con la maquina de blanqueamiento Phillips Zoom. Ademas el paciente tendrá su kit de cubetas individualizadas con el set de mantenimiento en casa.
-Blanqueamiento en casa bajo supervisión del dentista: Este se realiza en el domicilio del paciente, bajo las indicaciones del dentista. Se realiza una férula a medida para el paciente en la que se aplicara el agente blanqueador, con el fin de evitar cualquier posible contacto con el peridonto (encias).
Antes de ambos tratamientos en necesario realizar una profilaxis o limpieza dental y una revisión oral.
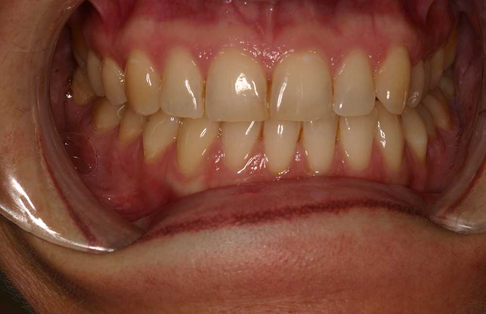
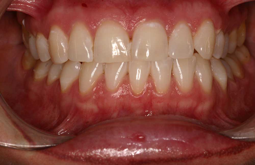
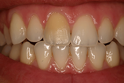
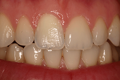
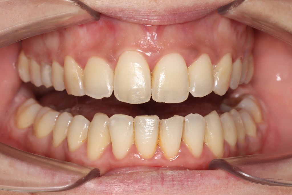
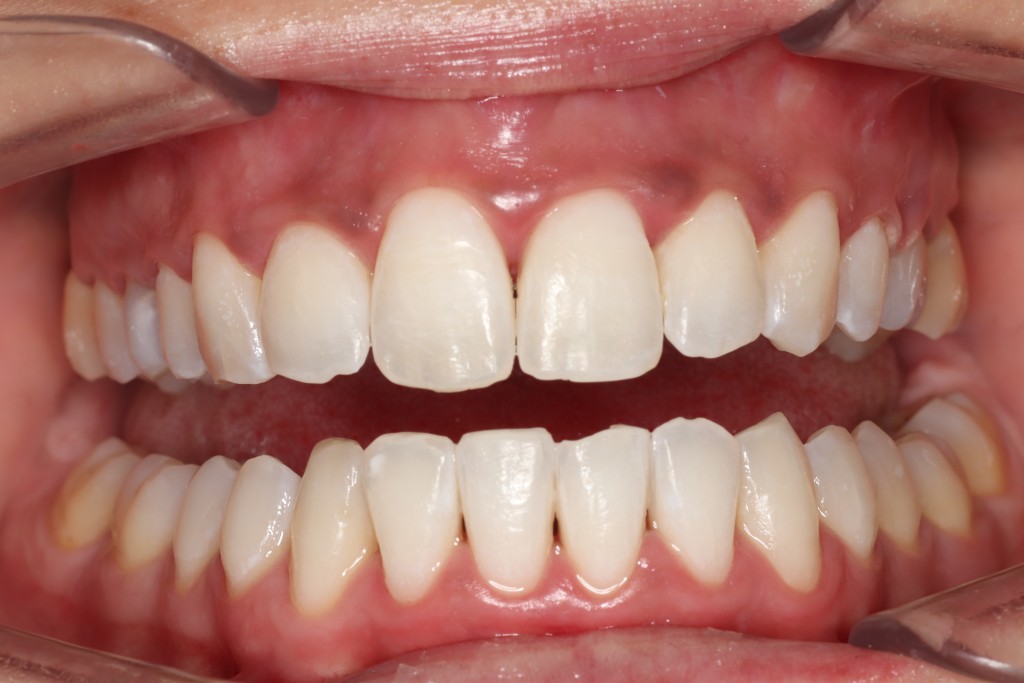
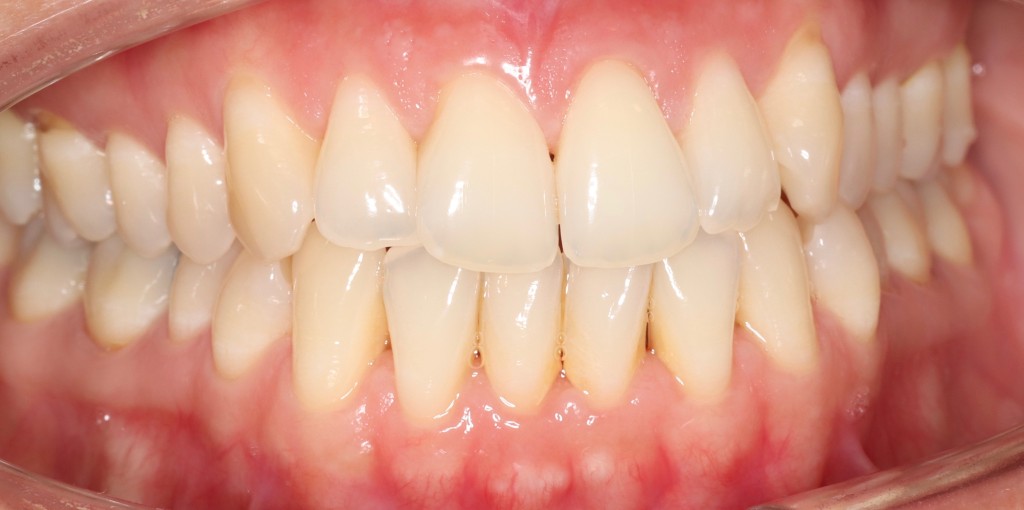
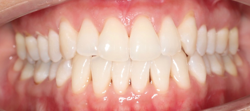
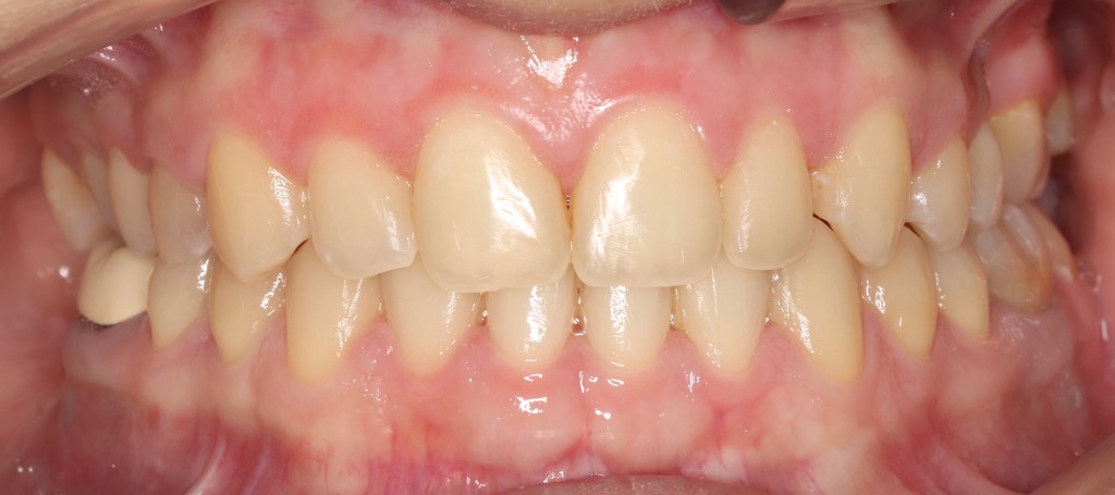
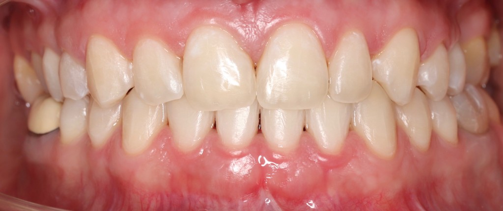
Casos Prácticos


























