Logo. Clinica Dental Centro. La Línea de La Concepción
Logo. Clinica Dental Centro. La Línea de La Concepción

Blanqueamiento Dental

Es una forma sencilla y segura de lograr una sonrisa más blanca y brillante siempre que la realice un profesional dental.

Instrumental blanqueamiento dental Cínica dental Centro. La Línea de La concepción.

Existen dos tipos de blanqueamiento:

Blanqueamiento en casa donde entregamos al paciente un kit con férulas personalizadas y jeringas que contienen un gel que blanquea y abrillanta los diente. El proceso se prolonga entre 10 y 20 días desde la comodidad de su casa.

Blanqueamiento en clínica donde se aplica el mismo compuesto con mayor concentración y se activa mediante luz fría. ¡En aproximadamente dos horas puedes lucir una sonrisa espectacular!

¿Por qué elegir Dental Centro para blanquear tu sonrisa?

  • Usamos los mejores y más seguros geles del mercado.
  • Nuestra lámpara de luz fría es la más usada y con mejores resultados.
  • Usamos un espectrómetro para medir el color inicial y el final real.
  • Disponemos de una gran cantidad de casos documentados para que veas el antes y después de nuestros blanqueamientos.

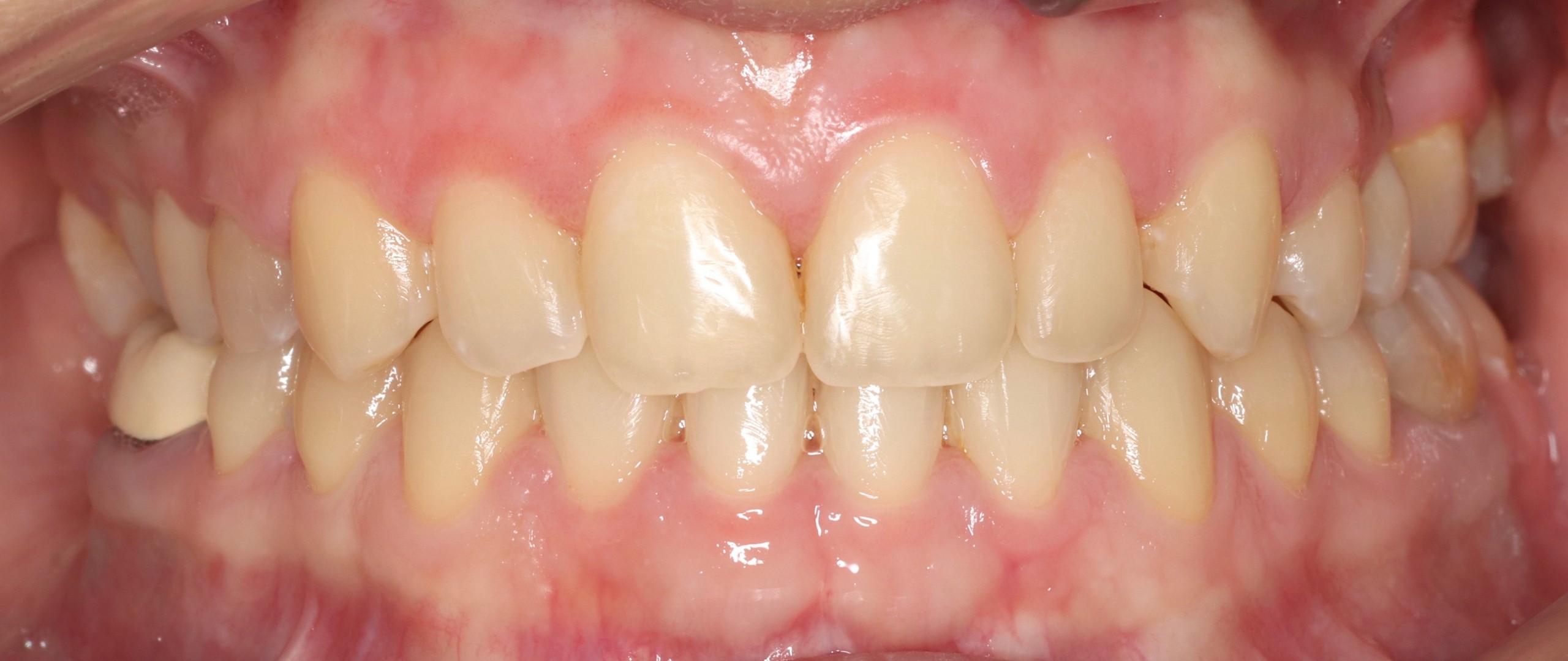
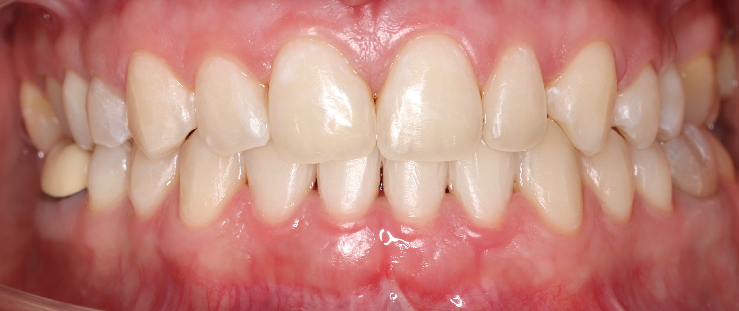
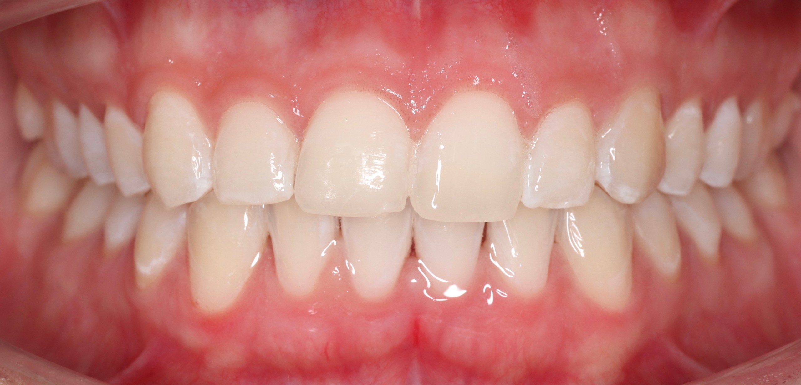
Casos Prácticos

En Dental Centro, descubre cómo transformamos sonrisas y cambiamos vidas. Cada paciente es único, y nos enorgullece haber sido parte de su viaje hacia una sonrisa más radiante y saludable.

Logo. Clinica Dental Centro. La Línea de La Concepción
Logo. Clinica Dental Centro. La Línea de La Concepción
ANTESDESPUES
ANTESDESPUES

Odontología avanzada con tecnología digital, diagnóstico preciso.

Dental Centro. Clínica dental en La línea de La Concepción.

MUY CERCA DE TI

En la Calle Real de La Linea de La Concepción

Clínica Dental Centro
C/ Real, 41, 11300 La Línea de la Concepción, Cádiz