Carillas Cerámicas
Estética Dental
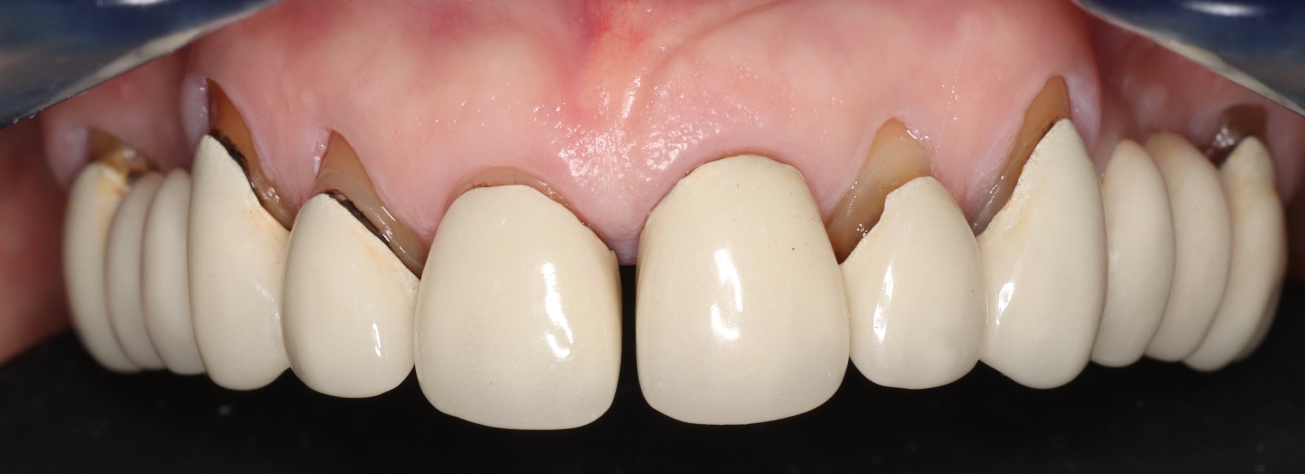
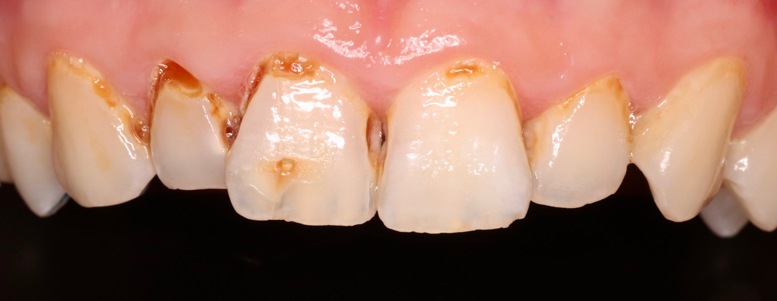
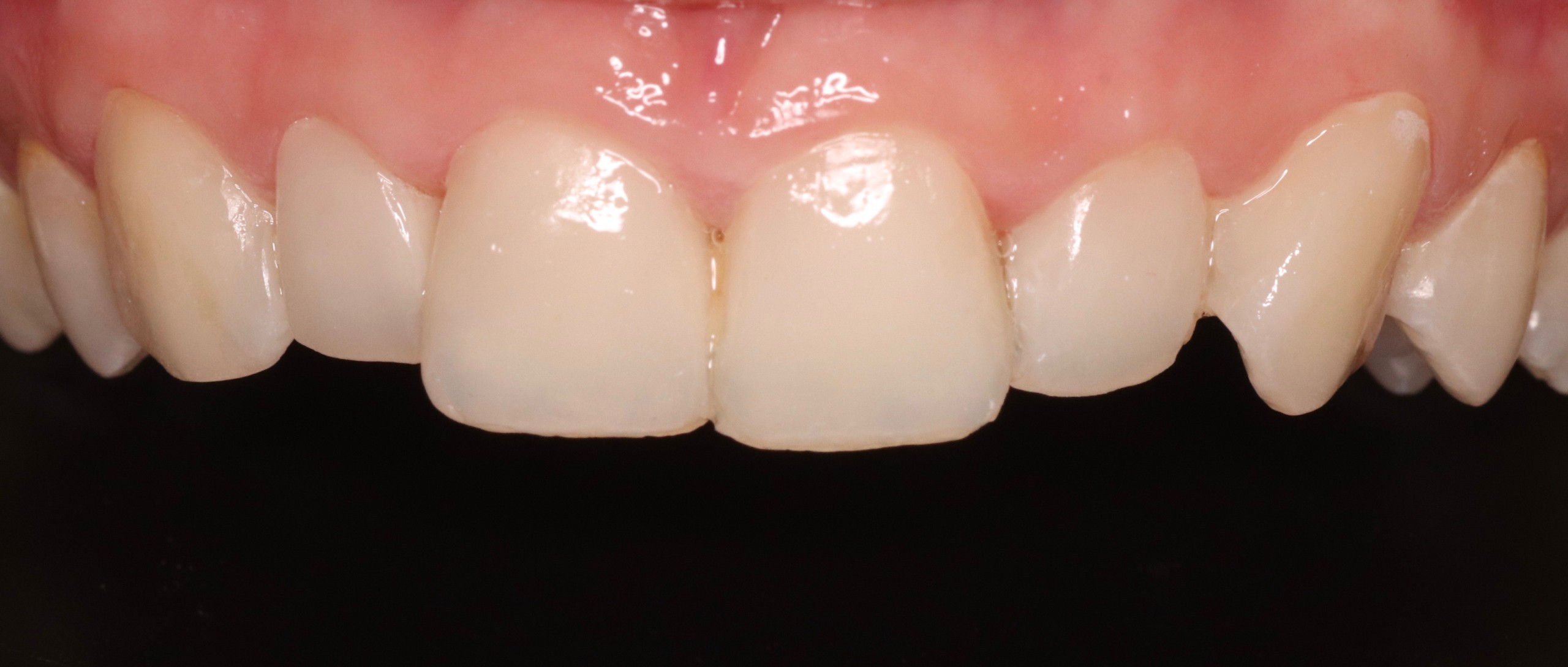
Una carilla es una fina capa de materia que se une al diente, puede ser de porcelana o de resina (el mismo material que los implantes).
Tienen un aspecto natural y fuerte que gracias a la experiencia de nuestros profesionales, materiales y técnicas de vanguardia se consigue la anatomía, tamaño y color deseados por el paciente.
Para tu total seguridad, en Dental Centro, las carillas las diseñan, preparan y colocan los Dres. Toro & Caparrós, dueños de la clínica y con más de 20 años de experiencia.
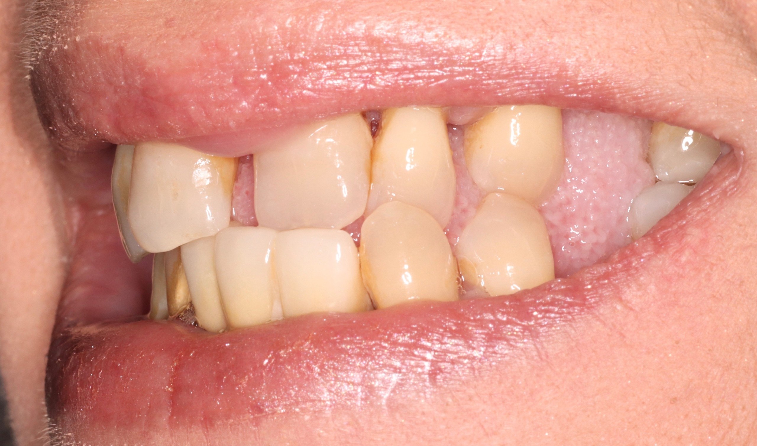
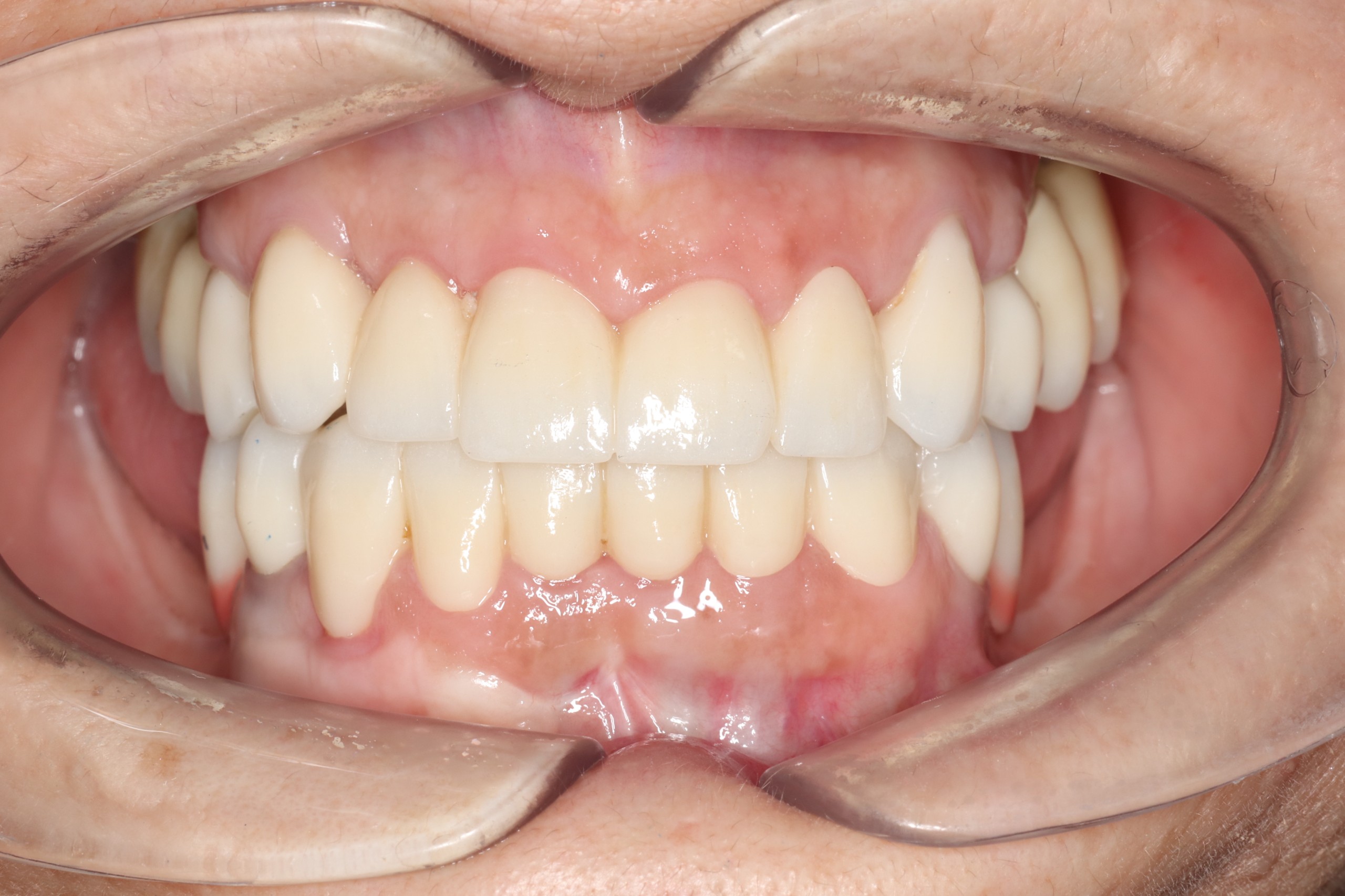
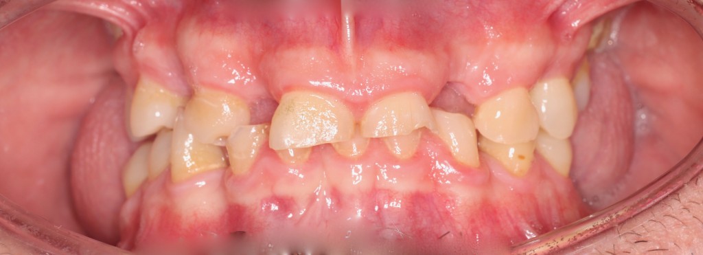
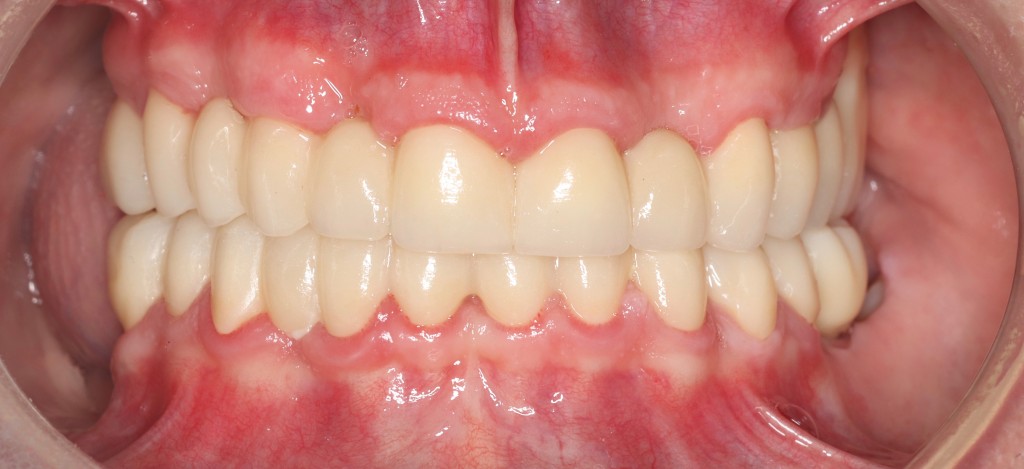
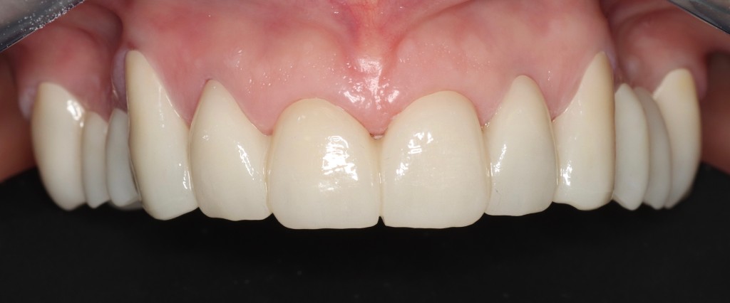
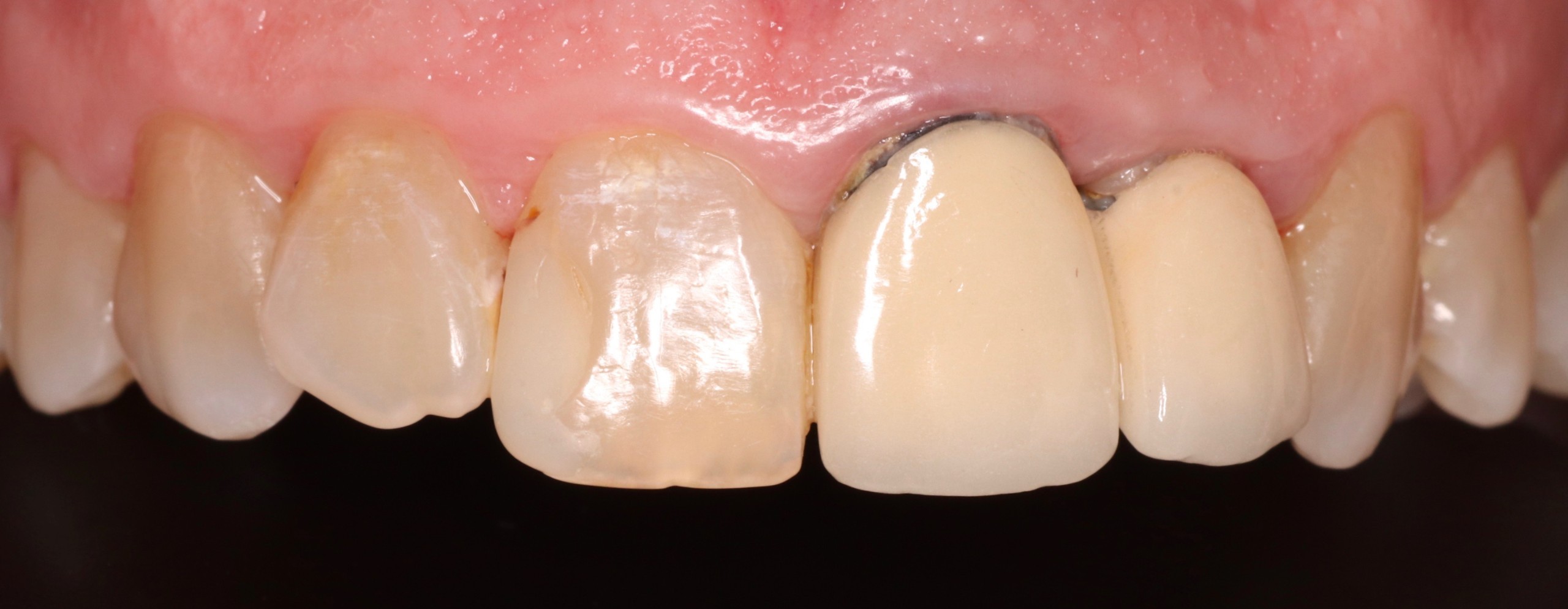
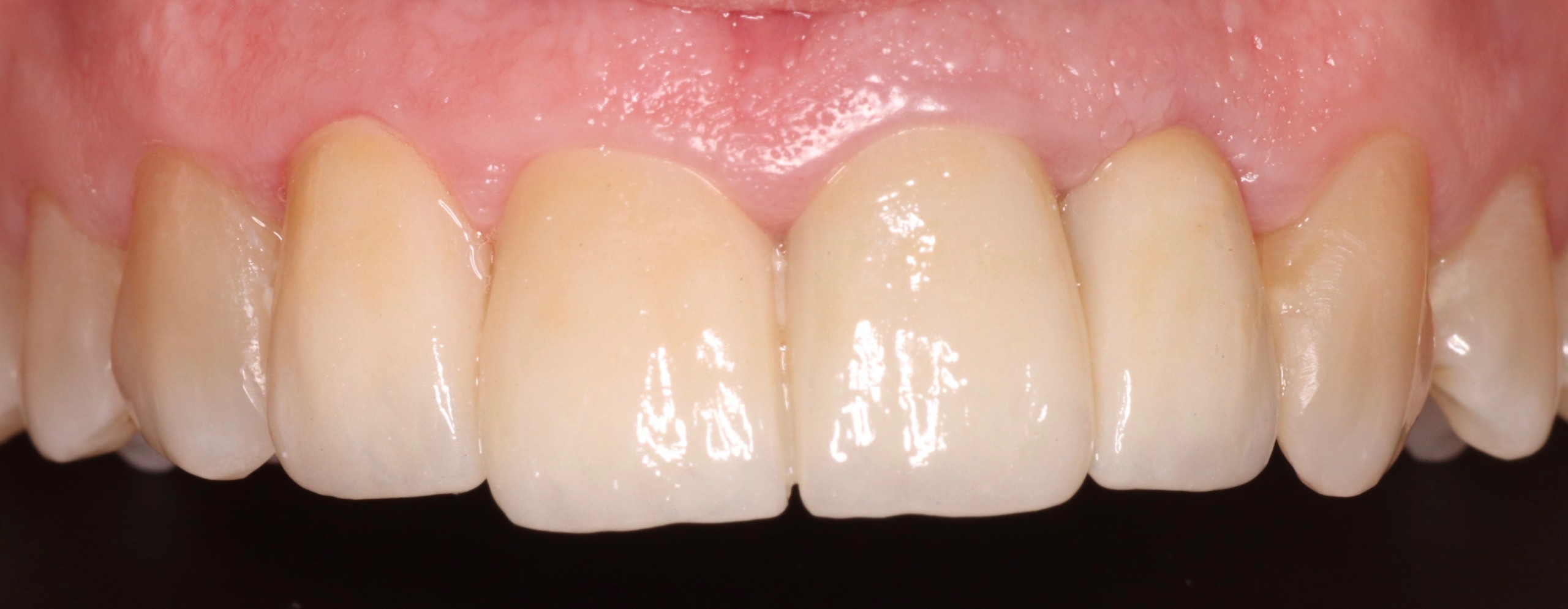
Casos Prácticos
En Dental Centro, descubre cómo transformamos sonrisas y cambiamos vidas. Cada paciente es único, y nos enorgullece haber sido parte de su viaje hacia una sonrisa más radiante y saludable.
















































Odontología avanzada con tecnología digital, diagnóstico preciso.


