ESTÉTICA DENTAL

CARILLA CERAMICAS

Existen diferentes tipos de carillas, en Dental Centro después de evaluar su caso decidiremos cual es el material de elección y el numero de carillas a colocar para conseguir la satisfacción del paciente pero tb para ser lo mas conservadores posibles.

Intentamos siempre ser lo mas conservadores con la estructura dentaria por ello realizamos carillas minimamente invasivas , es decir con poco o ningún tallado del diente.

El diente se prepara en Clinica, a continuación escaneamos la preparación y enviamos al laboratorio Dental.

Trabajamos con laboratorios con alto renombre a nivel nacional como internacional en el caso de las carillas Luminners.

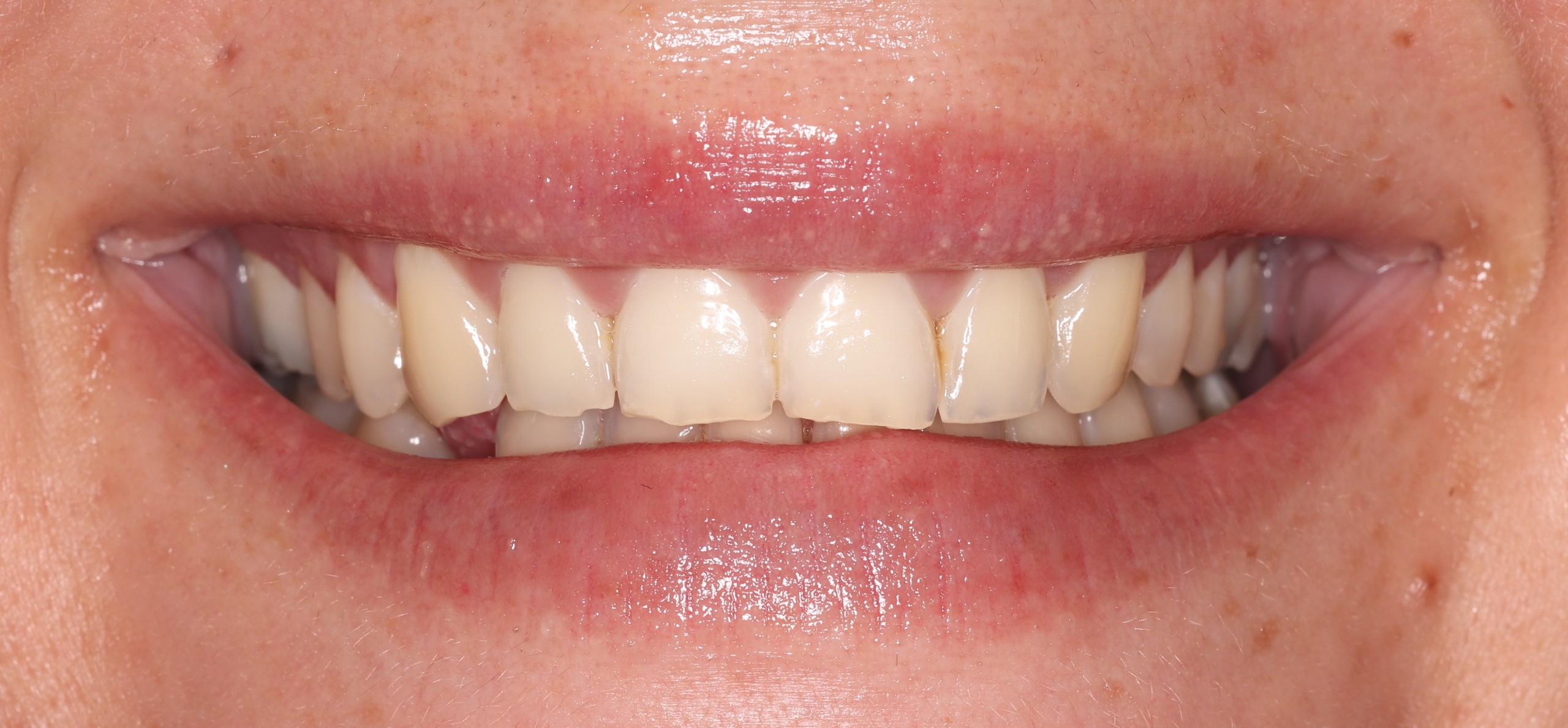
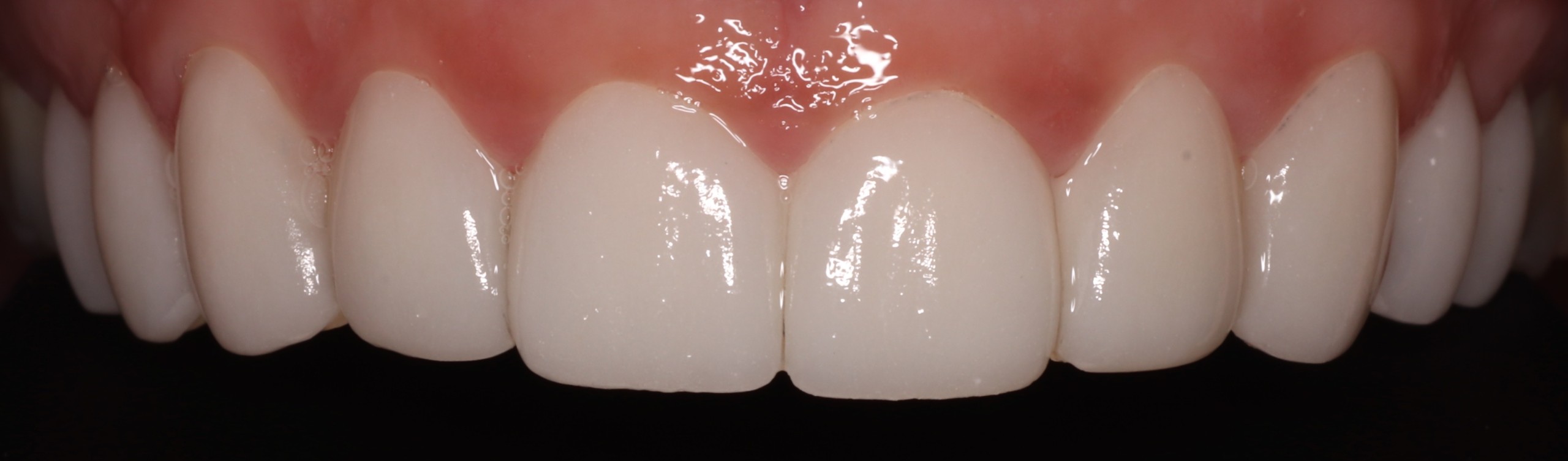
Carillas

ANTESDESPUES
ANTESDESPUES

MUY CERCA DE TI

En la Calle Real de La Linea de La Concepción

Clínica Dental Centro
C/ Real, 41, 11300 La Línea de la Concepción, Cádiz