Implantes Dentales
Listo para sonreir
Con los implantes dentales podrás volver a comer adecuadamente mejorando la digestión.
¡Volverás a sonreír sin complejos!
¿Por qué elegir Dental Centro para tus implantes dentales?
Los implantes y las prótesis sobre los implantes son diagnosticados y realizados por los Dres. Fernando Toro y la Dra. María Caparros, dueños de la clínica, lo que evita ir cambiando de un dentista a otro como ocurre en los grupos dentales y las franquicias.
Utilizamos técnicas de radiología avanzada como el TAC 3D para la realización de los implantes con la máxima precisión y seguridad.
Usamos técnicas de escaneado digital para la realización de los dientes.
Los Dres. Toro & Caparrós tienen más de 20 años de experiencia y cientos de casos documentados antes y después del tratamiento. ¡Ven a conocerlos!
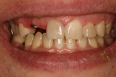
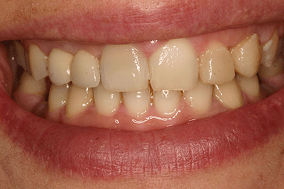
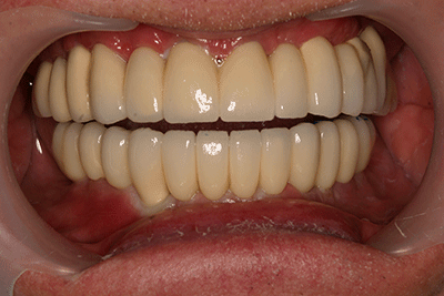
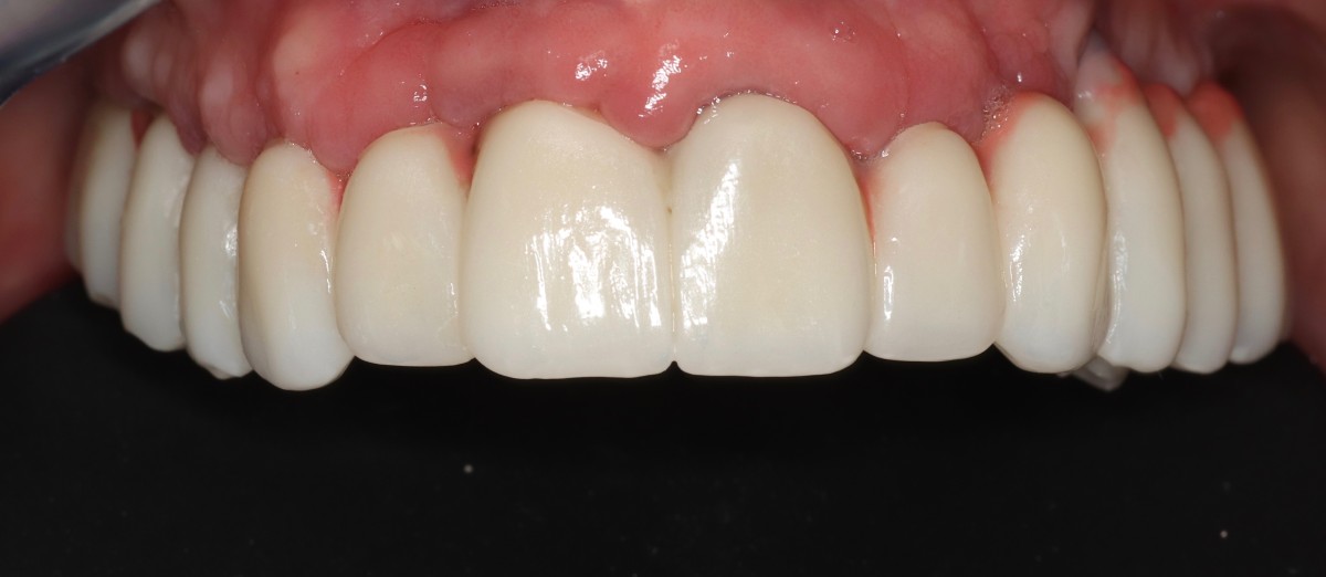
Casos Prácticos
En Dental Centro, estamos orgullosos de presentar una selección de nuestros casos prácticos que ilustran cómo hemos transformado sonrisas y cambiado vidas. Cada paciente tiene una historia única y un objetivo particular en mente, y nos enorgullece haber sido parte de su viaje hacia una sonrisa más radiante y saludable. Tenemos cientos de casos documentados, antes/después, ven a conocerlos.


















Odontología avanzada con tecnología digital, diagnóstico preciso.


