Ortodoncia Tradicional e Invisible.
Lleva al siguiente nivel la belleza de tu Sonrisa con alineadores invisibles en Dental Centro
Existen diversas técnicas y materiales para alinear los dientes según la edad, la complejidad del caso y la demanda estética.
¿Qué tratamiento es el ideal?
Es fundamental realizar un estudio completo con escaneado intraoral, fotos, toma de registros y radiografías.
El especialista y su equipo te informarán y aconsejarán del tipo de tratamiento ideal para tu caso.
Ortodoncia Invisible
La ortodoncia invisible es una técnica revolucionaria para alinear los dientes sin necesidad de usar los tradicionales Brackets.
El tratamiento consiste en una planificación 3D que te permitiría ver una simulación del resultado final antes de iniciar el tratamiento. Durante el tratamiento usarás una serie de alineadores prácticamente invisibles que irán modificando la posición de tus dientes.
En Clínica Dental Centro usamos las mejores marcas de alineadores transparentes más usadas en el mundo y a las que un número mayor de estudios avalan.
Brackets
Los Brackets son pequeñas piezas metálicas o cerámicas que se pegan a los dientes y que el ortodoncista ajusta periódicamente. Es la técnica tradicional y son eficaces para tratar casos más complejos.
Tratamientos según edad
Tratamientos según edad
Son los tratamientos que se realizan de los 0 a los 12 años.
Es aconsejable hacer revisiones periódicas para detectar posibles problemas de crecimiento de los maxilares. A estas edades es fundamental detectar y tratar estos problemas con la ortodoncia funcional para evitar problemas futuros.
También se detectan y tratan hábitos perjudiciales como dificultad al tragar o morder, chuparse el dedo con cierta edad, falta de espacio por perdida prematura o tardía de los dientes de leche.
A partir de los 12 años, tenemos la dentadura definitiva y comienza la etapa de la aparatología fija. Para la corrección del apiñamiento dental, espacios, así como problemas de mordida (Oclusión).
A partir de los 17 – 18 años lo más importante es la prevención para tratar de conservar los dientes durante toda la vida. A esta edad se corrigen: Problemas estéticos. Espacios entre los dientes. Pérdidas de dientes. Espacios para implantes. Ruidos o dolor de la mandíbula al abrir y cerrar la boca.
El dolor de la articulación de la mandíbula, la limitación a la apertura, los ruidos en la mandíbula unidos a dolor de cabeza crónico suelen venir provocados por problemas dentales. Nunca es tarde…
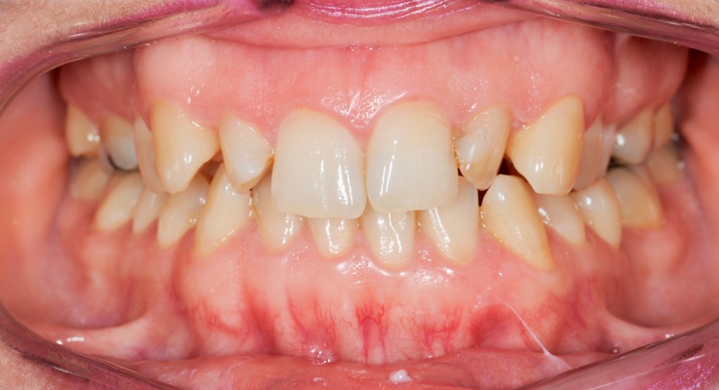
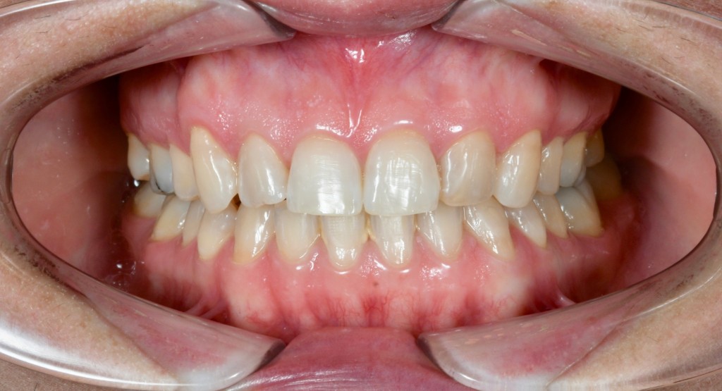
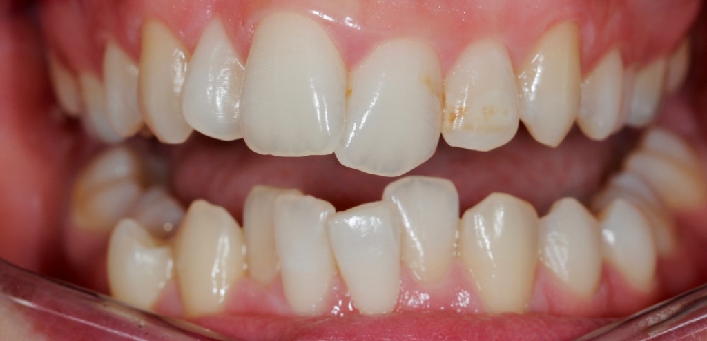
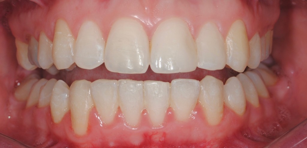
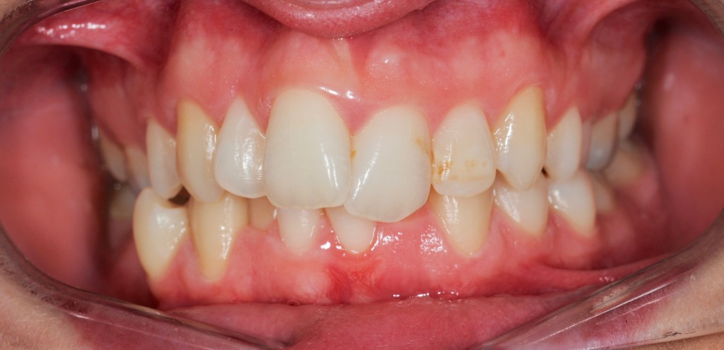
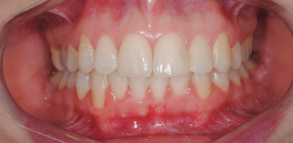
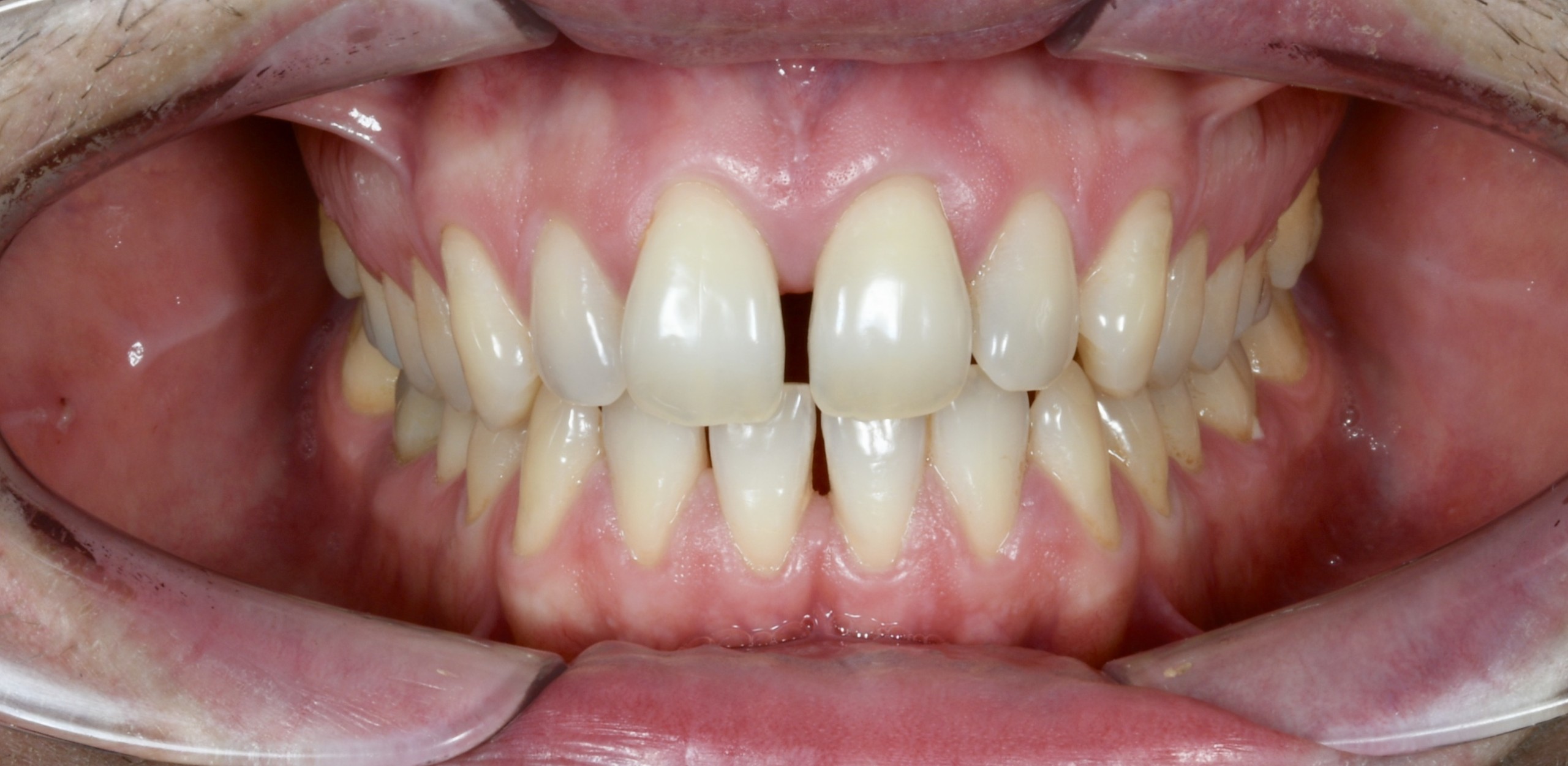
Casos Prácticos
En Dental Centro, estamos orgullosos de presentar una selección de nuestros casos prácticos que ilustran cómo hemos transformado sonrisas y cambiado vidas. Cada paciente tiene una historia única y un objetivo particular en mente, y nos enorgullece haber sido parte de su viaje hacia una sonrisa más radiante y saludable.










Odontología avanzada con tecnología digital, diagnóstico preciso.


