Logo. Clinica Dental Centro. La Línea de La Concepción
Logo. Clinica Dental Centro. La Línea de La Concepción

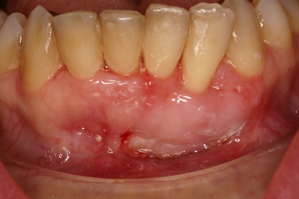
Periodoncia y cirugía plástica periodontal.

En Dental Centro cuidamos tus Encías con el máximo mimo, la mejor tecnología y el mejor resultado.

La periodoncia es la especialidad dental que se ocupa de las encías y las estructuras que rodean a nuestros dientes.

En Dental Centro somos conscientes de que las enfermedades como la gingivitis, la periodontitis, y la recesión de las encías acortan la vida de los dientes y los implantes.

Los Dres. Toro & Caparrós son especialistas en periodoncia, estética e implantes y han sido profesores durante más de 10 años de las más prestigiosas universidades de Madrid. Somos expertos en técnicas de regeneración de las encías. Con nuestros conocimientos y experiencia hemos ideado un programa de diagnóstico, tratamiento y mantenimiento para mantener los dientes y los implantes el mayor tiempo posible.

 

Usamos técnicas de última generación como GBT Guided Biofilm Therapy de EMS que es un proceso indoloro y localizado para mantener la salud de tus dientes e implante.

 

Logo Bioflim. Clínica Dental Centro. La línea de La Concepción.

¡Ven a probarlo y repetirás!

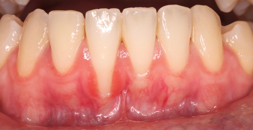
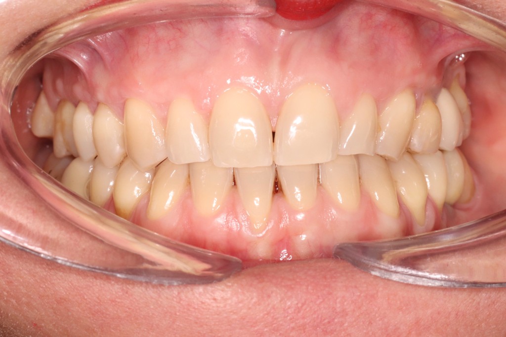
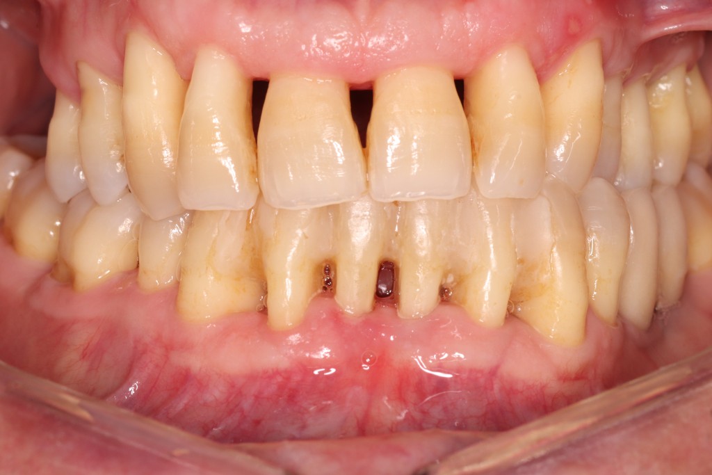
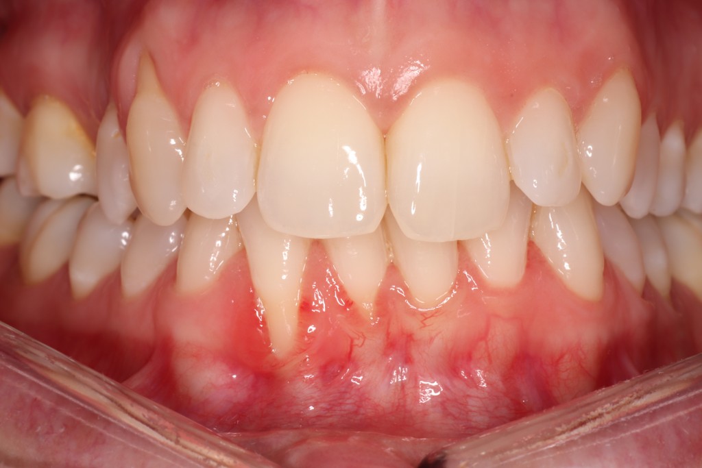
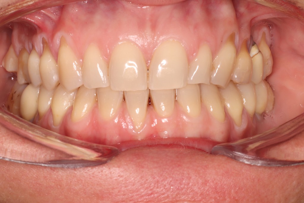
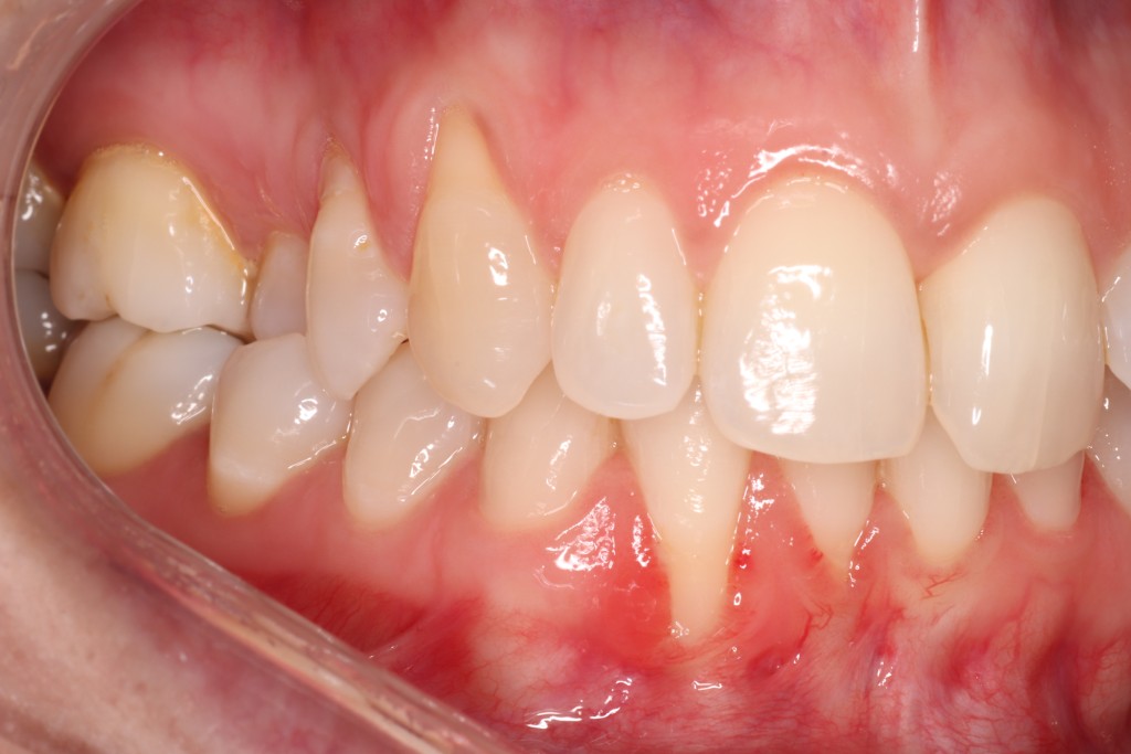
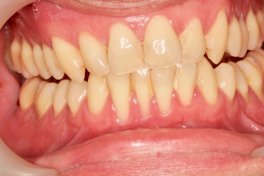
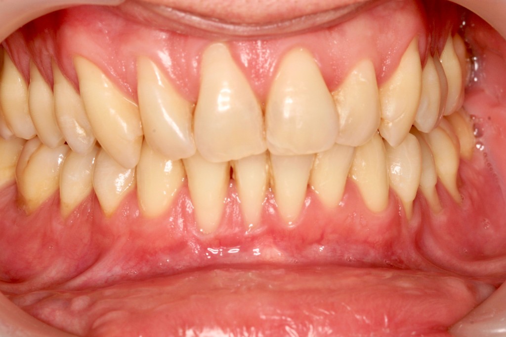
Casos Prácticos

En Dental Centro, estamos orgullosos de presentar una selección de nuestros casos prácticos que ilustran cómo hemos transformado sonrisas y cambiado vidas.
Cada paciente tiene una historia única y un objetivo particular en mente, y nos enorgullece haber sido parte de su viaje hacia una sonrisa más radiante y saludable.

Logo. Clinica Dental Centro. La Línea de La Concepción
Logo. Clinica Dental Centro. La Línea de La Concepción
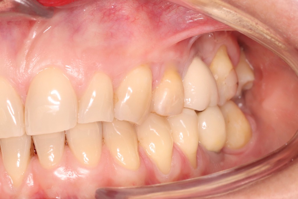
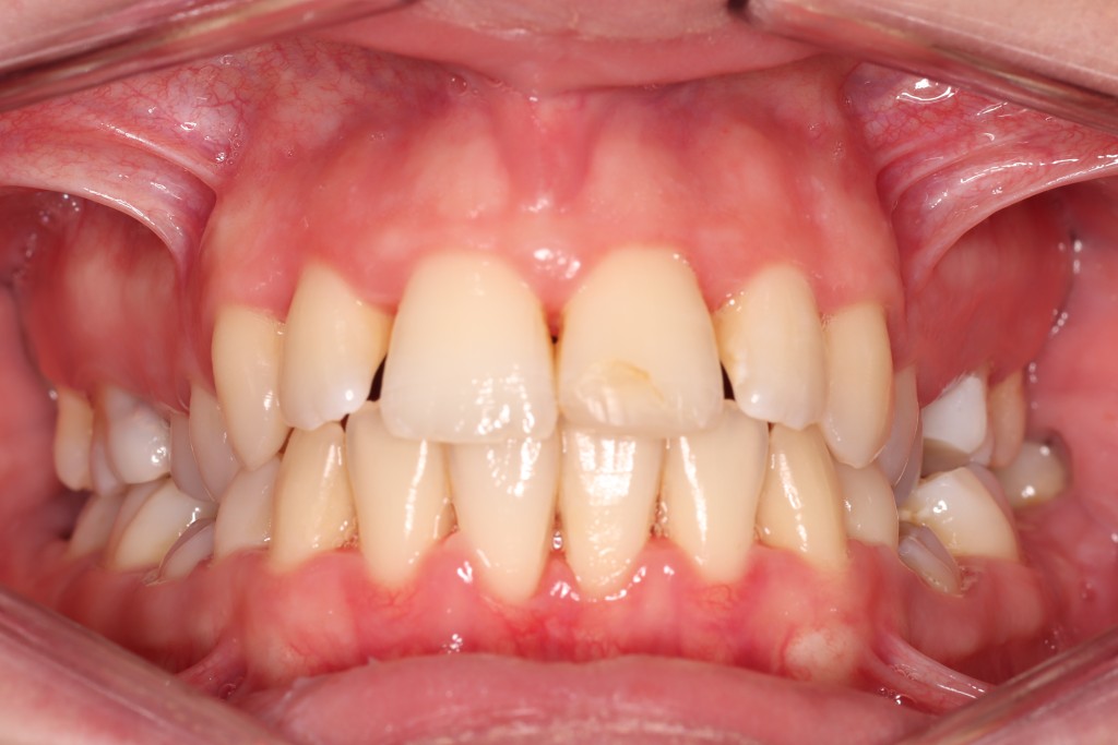
ANTESDESPUES
Tratamientos dentales en La Línea de La Concepción - Clínica Dental CentroTratamientos dentales en La Línea de La Concepción - Clínica Dental Centro
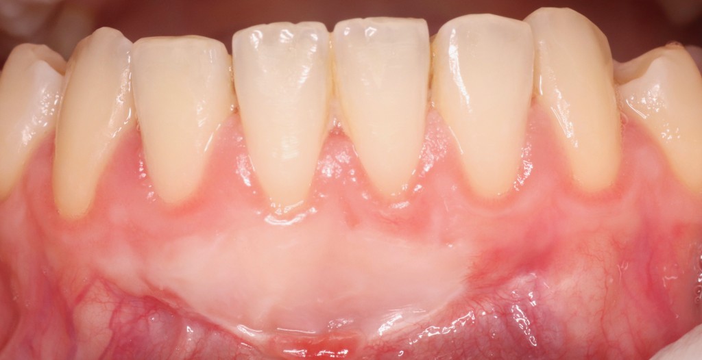
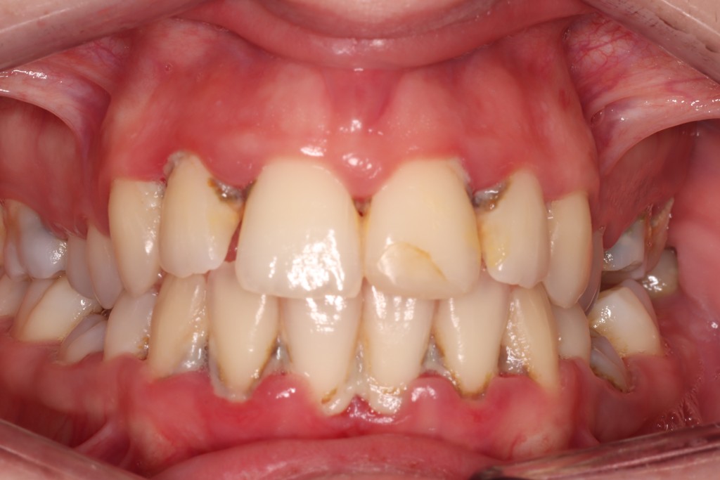
ANTESDESPUES
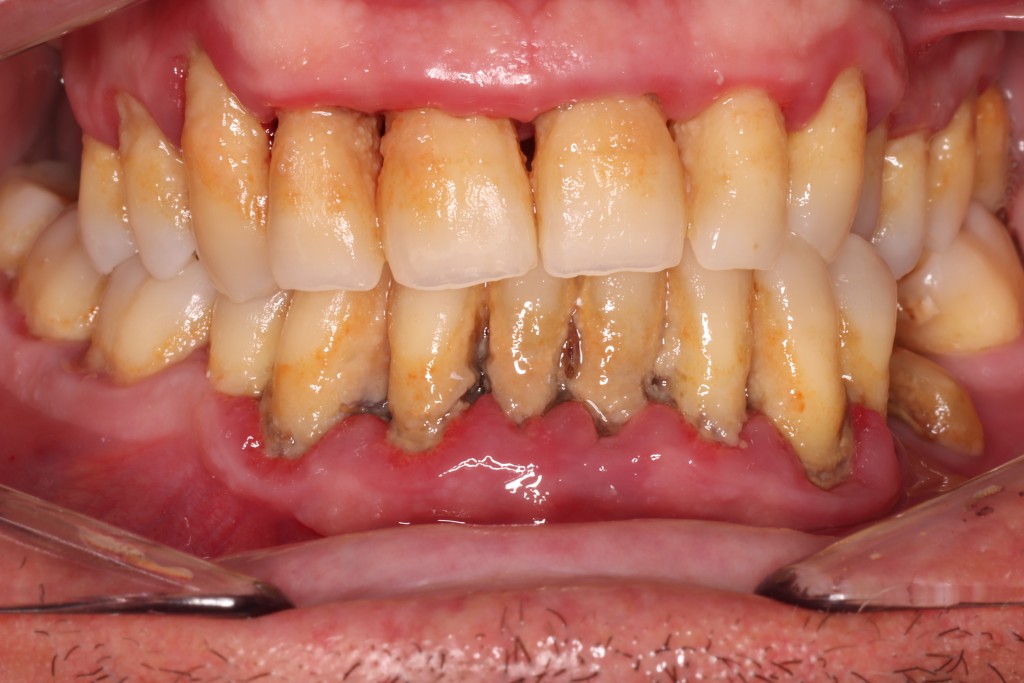
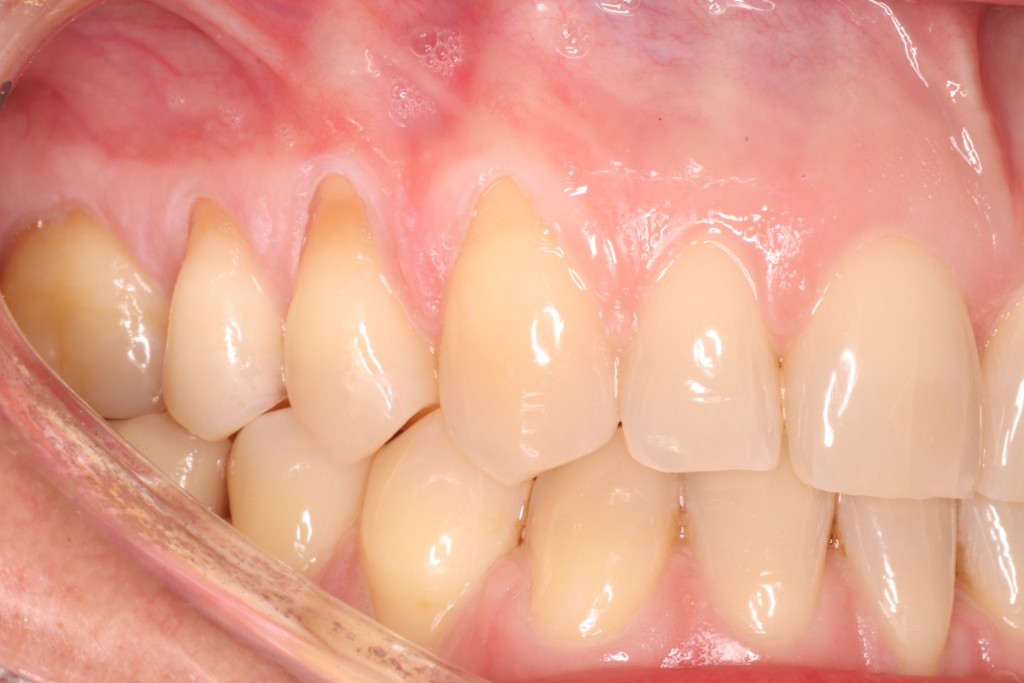
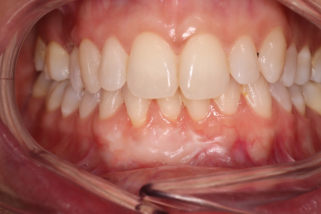
ANTESDESPUES
Tratamientos dentales en La Línea de La Concepción - Clinica Dental CentroTratamientos dentales en La Línea de La Concepción - Clinica Dental Centro
Tratamientos dentales en La Línea de La Concepción - Clinica Dental CentroTratamientos dentales en La Línea de La Concepción - Clinica Dental Centro
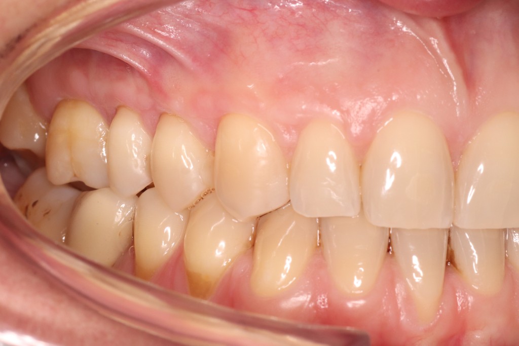
Tratamientos dentales en La Línea de La Concepción - Clinica Dental CentroTratamientos dentales en La Línea de La Concepción - Clinica Dental Centro
Tratamientos dentales en La Línea de La Concepción - Clínica Dental CentroTratamientos dentales en La Línea de La Concepción - Clínica Dental Centro

Odontología avanzada con tecnología digital, diagnóstico preciso.

Dental Centro. Clínica dental en La línea de La Concepción.

MUY CERCA DE TI

En la Calle Real de La Linea de La Concepción

Clínica Dental Centro
C/ Real, 41, 11300 La Línea de la Concepción, Cádiz