Sonrisa Gingival
Estética Dental
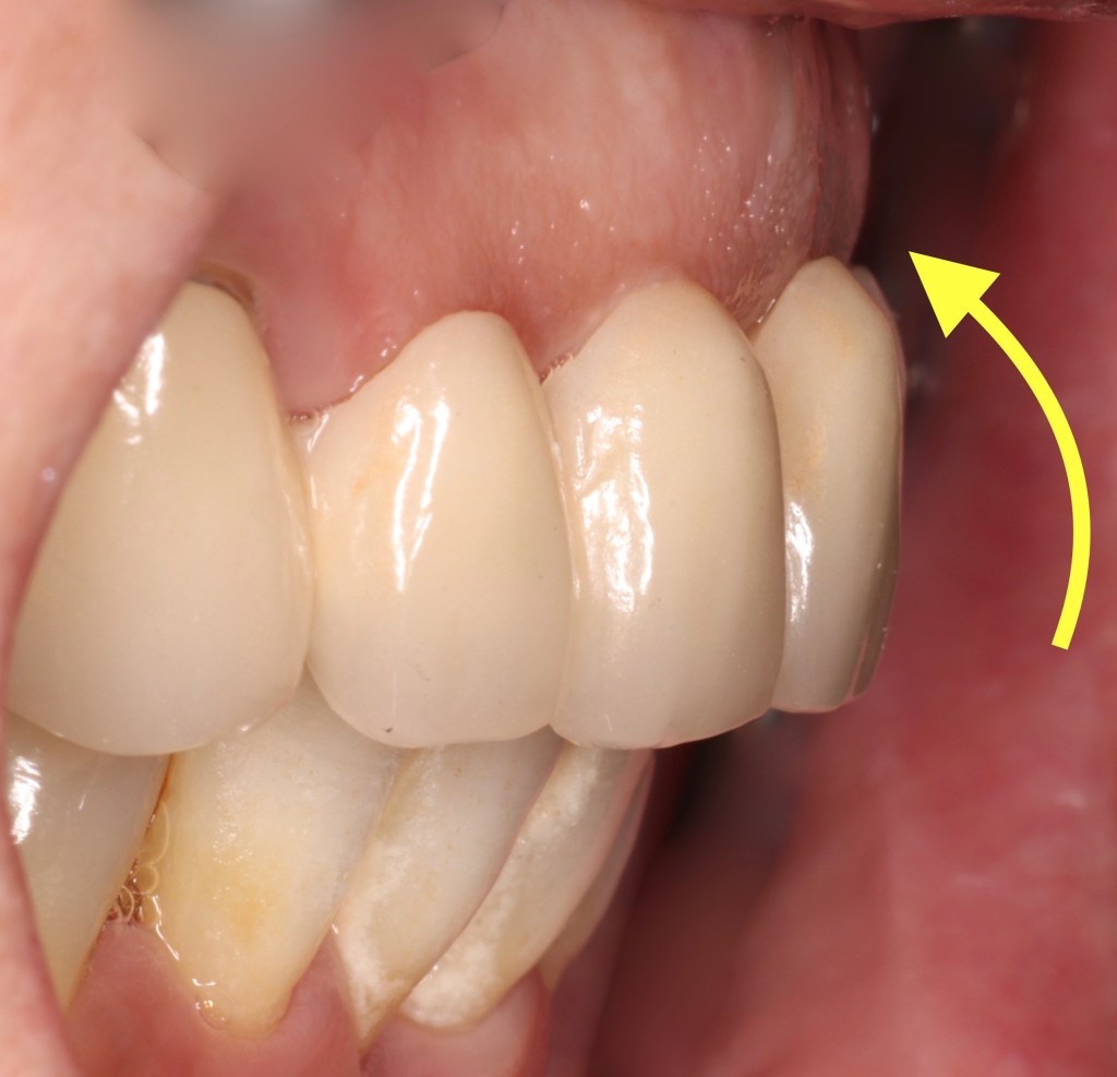
El Dr. Fernando Toro es especialista en la armonización de las encías con cientos de casos documentados.
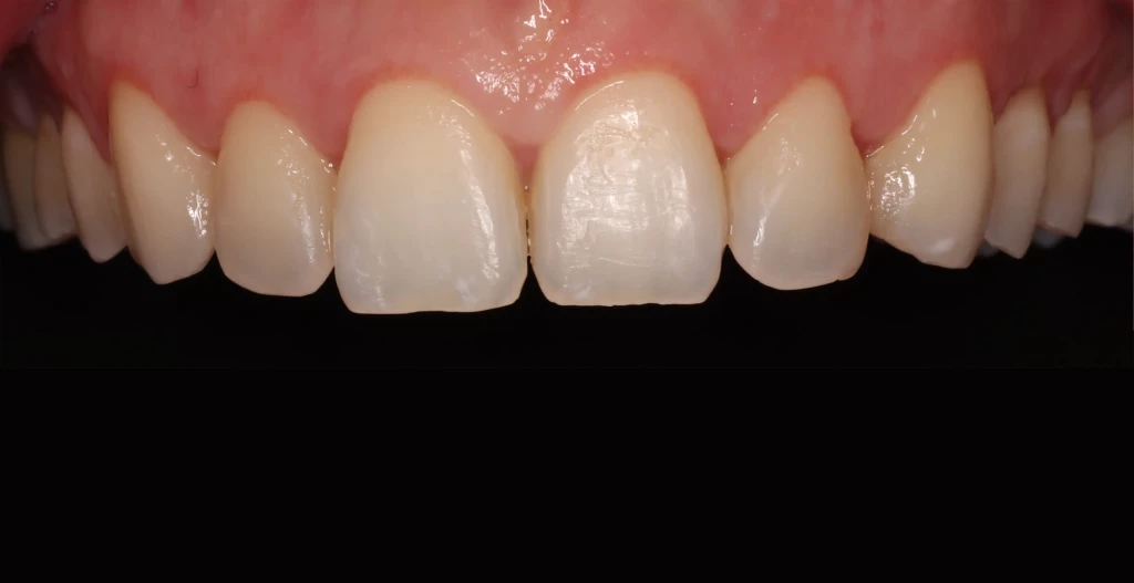
Las encías son el “marco” de nuestros dientes, en cualquier tratamiento de estética dental debe considerarse la forma, tamaño y color de las encías.
Es fundamental que estén sanas, para ello contamos con el método mas innovador para realizar limpiezas y mantenimientos periodontales.
Se trata de la Guided Biofilm Therapy by EMS.

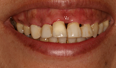
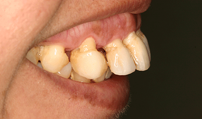
Casos Prácticos
En Dental Centro, descubre cómo transformamos sonrisas y cambiamos vidas. Cada paciente es único, y nos enorgullece haber sido parte de su viaje hacia una sonrisa más radiante y saludable.










Odontología avanzada con tecnología digital, diagnóstico preciso.


